|
恵歯会デンタルクリニックのラミネートベニア!
最近、歯のホワイトニングでは到達できない白い歯とキレイな歯並びをした芸能人を見かけることがあります。中にはこのラミネートベニア法を利用している方もいるでしょう。
過去には歯のホワイトニングとして歯を白くするのはこの「ラミネートベニア法」が多く使われていました。最近は、貼り付ける材料の進歩によって、再び注目され始めています。
→
ラミネートベニアとは 自分の歯の表面をごく薄く削り、その部分に歯の色をしたネイルチップのような薄い歯を貼り付けます。ネイルチップと違い一度つけたら外せません。材料は一般的にはセラミック(ポーセレン)などが使用されます。
歯の色は人によって異なり、白くする方法もさまざまなのです。
メリット
色だけでなく、形(すきっぱなど)も短期間で修正可能
ホワイトニングでの「白」よりもっと白くできる
生まれつき色が濃い歯でも、短期間で白い歯になる
色が元に戻ることはない
削る量が少ないので痛くない、
デメリット
自分の歯を削らなくてはならない
ホワイトニングに比べて高価
ラミネートベニアは、自分の歯を少し削る必要があります。歯のホワイトニングよりもかなり白く、少しの歯並びの修正であれば矯正を行なうよりもはるかに短期間(概ね3回程度)でキレイな歯並びと真っ白な歯を手に入れることができます。
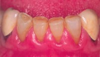
以下は前歯の隙間をラミネートベニアで修正した事例
⇒
⇒
|